Biologische Zahnmedizin

Biologische Zahnmedizin

Das Konzept der biologischen Zahnmedizin unserer Praxis betrachtet den Mensch als Ganzes und Bio–logisch.

Kein Körperbereich in unserem Organismus ist so stark mit Fremdstoffen (Metalle, giftige Materialien, abgestorbenen, toten Zähnen und Entzündungen durchsetzt wie der Mund-Kieferbereich.

Es ist inzwischen bewiesen, dass 60% aller chronischen Entzündungen im Kauorgan begründet sind. Wir haben daraus ein Behandlungskonzept entwickelt, welches die belastenden Faktoren schonend entfernt und die biologische Funktion des Organismus mit minimal invasiven und biologischen Materialien wiederherstellt.

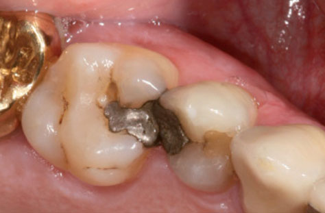
Amalgamentfernung

Metallbestandteile können in der Regel wenige Tage nach dem Einbringen in den Mund überall im Körper nachgewiesen werden.

Root2Disease

An jedem toten Zahn hängt ein kranker Mensch: Aufklärung über schwere gesundheitliche Risiken durch wurzelbehandelte Zähne.

NICO

Unter NICO (Neuralgia inducing cavitational osteonecrosis) versteht man chronisch entzündliche Bereiche im Kieferknochen.

Störfeldsanierung

Der Begriff Störfeld kommt aus der Komplementärmedizin und bedeutet nichts anderes als Strukturveränderung.

DVT 3D-Diagnostik

In unserer Praxis nutzen wir die dreidimensionale Röntgendiagnostik (DVT) im Vorfeld jeder Implantation und Störfeldsanierung.

Choukroun A-PRF™

Das Zusammenspiel unseres Kaumechanismus mit den Gelenken und Muskeln ist grundlegend für unser allgemeines Wohlbefinden. In der Regel bemerken wir von den komplizierten Vorgängen nichts.

Ozon

Bei jedem chirurgischen Eingriff kommt in unserer Praxis zur Desinfektion des Wundgebietes Ozon zum Einsatz.

Intralift™

Der Intralift™ ist ein neu entwickeltes OP-Verfahren, um fehlende Knochensubstanz im Oberkiefer zu vermehren.

Metallentfernung

Für verschiedene Metalle (Quecksilber, Gold, Platin, Kupfer, Kobalt, Aluminium) sind immunologische und krebserregende Wirkungen gut belegt.

Blutanalyse

Diese Analyse zielt darauf ab, Ungleichgewichte im Mikronährstoffhaushalt aufzudecken, die oft eine verborgene Ursache für diese Symptome darstellen können.

Detox

Während der Anwendung des Detox-Hydrogen-Fußbads werden die Poren der Haut geöffnet, was die Ausscheidung von Toxinen erleichtert.

Bio-Frequenzanalyse

Die Bio-Frequenzanalyse ist eine fortschrittliche Methode, die es ermöglicht, den Körper auf energetischer Ebene zu analysieren.